Invisalign é um sistema de tratamento ortodôntico que utiliza alinhadores transparentes e removíveis para corrigir problemas de má oclusão dentária e desalinhamento dos dentes. Ao contrário dos aparelhos ortodônticos tradicionais com fios e brackets metálicos, o Invisalign é uma opção discreta e esteticamente atraente.






Dra Silvia Coelho - Invisalign Doctor
Consulta inicial: O dentista ou ortodontista realiza uma avaliação completa da condição dental do paciente, incluindo radiografias, fotografias e moldagens dos dentes. Com base nesses dados, é possível criar um plano de tratamento personalizado.
Criação do plano de tratamento: Utilizando um software especializado, o profissional é capaz de visualizar a posição inicial dos dentes e planejar a movimentação progressiva deles até a posição desejada. O software também gera uma série de alinhadores personalizados para cada etapa do tratamento.
Alinhadores personalizados: Com base no plano de tratamento, são fabricados alinhadores transparentes feitos de um material plástico BPA-free. Esses alinhadores são projetados para se encaixar perfeitamente nos dentes e são substituídos a cada 1-2 semanas para promover a movimentação gradual dos dentes.
Uso diário: O paciente utiliza os alinhadores Invisalign durante a maior parte do dia, removendo-os apenas para comer, beber (exceto água) e higienizar os dentes. É recomendado utilizar os alinhadores por cerca de 20 a 22 horas diárias para obter resultados efetivos.
Consultas de acompanhamento: O dentista ou ortodontista acompanha regularmente o progresso do tratamento, realizando consultas de acompanhamento a cada 4 a 6 semanas. Durante essas consultas, são fornecidos novos conjuntos de alinhadores e feitos ajustes conforme necessário.






Vale ressaltar que a eficácia do tratamento com Invisalign pode variar dependendo da complexidade do caso ortodôntico. Em alguns casos, aparelhos ortodônticos tradicionais ainda podem ser recomendados. É importante consultar um dentista ou ortodontista qualificado para avaliar a adequação do tratamento com Invisalign para cada situação específica.
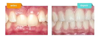
Antes / Depois


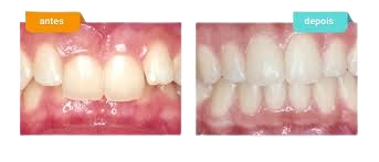
Antes / Depois


